Saltar al contenido

Ultrasonido Diagnóstico Y Rayos X Querétaro

Equipo Medico

Equipo Medico

  • Aviso de Privacidad
  • Empresas
  • Estudios Especiales
  • Inicio
  • Nosotros
  • Rayos X
  • ULTRASONIDO
Menu

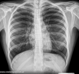
Rayos X

Placas simples:  Cráneo, Senos paranasales,  Tórax, Abdomen, Pelvis, Columna cervical, dorsal, lumbosacra, y huesos de las extremidades. Estudios para edad ósea.

Leer más »

Estudios Especiales

Se realizan con una técnica de imagen, llamada fluoroscopía, usada en medicina, para obtener imágenes en tiempo real de las estructuras internas de los pacientes y que permite observar con la ayuda ...

Leer más »

ULTRASONIDO

Es un método donde se utilizan ondas sonoras que producen ecos que se convierten en imágenes y nos permiten estudiar diferentes órganos internos, así como para dar seguimiento al desarrollo fetal, ...

Leer más »


Horario de Atención:

lunes
9:00 am – 6:00 pm
martes
9:00 am – 6:00 pm
miércoles
9:00 am – 6:00 pm
jueves
9:00 am – 6:00 pm
viernes
9:00 am – 6:00 pm
sábado
9:00 am – 1:00 pm
domingo
Cerrado
Aviso de Privacidad

· © 2026 Ultrasonido Diagnóstico Y Rayos X Querétaro · Funciona con · Diseñado con el Tema Customizr ·

Envíanos un mensaje de WhatsApp

O

Envíanos un mensaje de Facebook

Don't show again